ご予約はこちらから
ブラックフィルム
(ラミネートベニア)について
削らず、貼るだけで、笑顔が変わる
銀座で叶えるラグジュアリーな
審美治療
ブラックフィルムは、歯を削らずに貼るだけで美しい口もとをつくる新しい審美治療です。従来のラミネートベニアと異なり、痛みや負担を抑えながら理想の白さと形を実現します。短期間で仕上がるため、忙しいかたにもおすすめです。当院では、銀座エリアで審美性と安全性を重視したブラックフィルム治療を行い、自然で洗練された笑顔をサポートします。
TROUBLE
こんな場合はご相談ください
- 前歯の形を整えたい
- 歯の色ムラが気になる
- 削らない審美治療を探している
- 矯正まではしたくない
- 歯を白くしたいけど削るのは怖い
- 銀座でラミネートベニアを探している
- 短期間で口もとをきれいにしたい
- 自然な白さを手に入れたい
あなたの理想を叶え
理想のスマイル治療
韓国発の削らない
ラミネートベニア
歯を削らずにフィルムのような素材を貼り付ける、韓国発の新しい審美治療です。痛みや負担が少なく、自然な美しさを短期間で実現できます。
透明感のある
韓国スマイルを表現
光を自然に透過する薄い素材を使用し、透明感のある明るい笑顔を演出します。韓国特有の上品で洗練された口もとを再現できます。
矯正治療後の
スマイル修正に特化
歯並びを整えた後の形や色の微調整に適切です。矯正治療後の仕上げとして、より美しいスマイルラインを整える目的でも多く利用されています。
少しの手間で大きな美しさ
短期間で治療が完了し、見た目の印象を大きく変えることができます。削らないため負担も少なく、忙しいかたにもおすすめの審美治療です。
ラグジュアリーな審美性
自然なツヤと透明感が生み出す仕上がりは、まさに上質。歯本来の美しさを引き出しながら、洗練された印象の口もとへ導きます。
当院のブラックフィルム
(ラミネートベニア)
韓国2Dデンタルと正式提携
開発者と直接連携した特別な治療
当院は、韓国で唯一「削らないラミネートベニア・ブラックフィルム」を開発した2Dデンタル社と正式提携しています。素材や製作はすべて開発者監修のもと行われ、精密な仕上がりと高い審美性を実現。韓国発の先進技術を、銀座で受けられる唯一の環境を整えています。
ブラックフィルムを処置できる
歯科医師は日本で3名のみ
理事長 小池 陵馬 Ryoma Koike
歯科医師 鶴田 剛士 Takeshi Tsuruta
歯科医師 立松 Tatematsu
10年間無料保証
&半年間無償やり替え対応
長期保証で安心をしっかりサポート
当院では、ブラックフィルム治療に10年間の無料保証を設けています。定期的にメンテナンスへ通っていただくことを条件に、破損や剥離にも無償対応。また、装着後半年以内であれば、やり替えも無料で実施可能です。美しさを長く保ち、安心して通える保証体制を整えています。
BF銀座歯科・矯正歯科による
継続的なサポートで
こだわりの「白さ」が実現できます
ブラックフィルム治療へのこだわり
圧倒的な透明感
歯の見え方を左右する光の入り方・抜け方まで綿密に分析し、患者さん一人ひとりに適切な透明感を設計します。シーンごとの表情の変化や口元の印象を細かく評価し、自然で上質な美しい見え方を追求しています。
口元全体の調和
一本の歯だけでなく、口元全体のバランスを重視してデザインをしています。形・厚み・光の反射を総合的に調整し、その人らしい表情の魅力を引き立てる仕上がりを意識しています。
自然な美しさ
0.1mmという極薄設計にこだわり、歯を守りながら理想の見た目を実現しています。削る量を抑えるための素材選定や加工精度に徹底的にこだわり、負担を抑えつつ、自然な質感を引き出すことを大切にしています。
通常のラミネートベニアとの比較
| ブラックフィルム | 通常のラミネートベニア | |
|---|---|---|
| 費用 | 定価:250,000円(275,000円)/本 | 100,000~200,000円程度/本 |
| 期間 | 約3週間 | 約1ヵ月 |
| 痛み | ほとんどなし | ほとんどなし |
| 切削の有無 | 削らない | 削る |
治療の流れ
01 無料相談
まずは治療方法や費用、気になる点をじっくりお伺いし、カウンセリングを行います。疑問や不安を解消し、安心して治療に進んでいただけるよう丁寧にご対応いたします。
各種ご予約・お問い合わせは
こちら
02 治療計画のご提案
歯並びや噛み合わせなど口元のバランスを診断し、患者さんに合わせた治療計画をご提案いたします。ご希望のかたには、シミュレー ション用のラミネートベニアを実際に装着し、仕上がりのイメージを体感していただけます。
03 精密型取り・製作依頼
治療方針が決定したら、ブラックフィルム専用の精密な型取りと写真撮影を行います。歯を削らない設計に合わせて、透明度や色味を細かく選定し、製作へ進みます。
04 色調整・適合確認(通院2回目)
仕上がりの印象を左右する色味は、特別な審美セメントを用いて微調整します。実際にブラックフィルムを合わせ、透明感や適合、色味などを確認しながら適切なバランスへ整えていきます。
05 セット(通院2回目)
ブラックフィルム専属の技工士が製作したセラミックを、ドクター・患者さん・技工士の三者で最終確認し、ご納得いただいたうえで、独自の装着技術によって丁寧にセットします。仕上がりの美しさと快適さを大切にした最終工程です。
最短2回で叶える
時間をかけずに作る美しいスマイル
ブラックフィルムは、最短2回の通院で治療が完了するスピード感が大きな魅力です。ホワイトニングのように何度も通う必要がなく、セラミック治療のような長期工程も不要です。忙しい仕事や育児、プライベートの予定で時間が取りづらいかたでも、無理なく治療を進めることができます。短期間で見た目の印象を大きく変えたいというかたに適した、気軽に受けられる審美治療です。
最短2回の
通院で
施術が可能
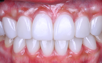
症例
削らずにここまで変わる
ブラックフィルムの実例をご覧ください
ブラックフィルムは、歯を削らずに自然で上品な笑顔をつくる先進的な審美治療です。当院では、実際に施術を受けられた患者さんの症例を、写真や経過とともにご紹介しています。歯の色・形・バランスがどのように変化するのか、治療後の印象をぜひご覧ください。あなたの理想の笑顔づくりの参考にしていただけます。
費用
料金表
| 通常価格 | モニター価格 | |
|---|---|---|
| 全顔 2本 | 500,000円(550,000円) | 500,000円(550,000円) |
| 全顔 4本 | 1,000,000円(1,100,000円) | 730,000円(803,000円) |
| 全顔 6本 | 1,500,000円(1,650,000円) | 1,095,000円(1,204,500円) |
| 全顔 8本 | 2,000,000円(2,200,000円) | 1,460,000円(1,606,000円) |
| 全顔 10本 | 2,500,000円(2,750,000円) | 1,750,000円(1,925,000円) |
| 全顔 12本 | 3,000,000円(3,300,000円) | 2,100,000円(2,310,000円) |
| 全顔 14本 | 3,500,000円(3,850,000円) | 2,450,000円(2,695,000円) |
| 全顔 16本 | 4,000,000円(4,400,000円) | 2,640,000円(2,904,000円) |
| 全顔 18本 | 4,500,000円(4,950,000円) | 2,970,000円(3,267,000円) |
| 全顔 20本 | 5,000,000円(5,500,000円) | 3,300,000円(3,630,000円) |
※表示金額は全て税込みです
| 通常価格 | モニター価格 | |
|---|---|---|
| 鼻下 2本 | 500,000円(550,000円) | 500,000円(550,000円) |
| 鼻下 4本 | 1,000,000円(1,100,000円) | 920,000円(1,012,000円) |
| 鼻下 6本 | 1,500,000円(1,650,000円) | 1,380,000円(1,518,000円) |
| 鼻下 8本 | 2,000,000円(2,200,000円) | 1,840,000円(2,024,000円) |
| 鼻下 10本 | 2,500,000円(2,750,000円) | 2,200,000円(2,420,000円) |
| 鼻下 12本 | 3,000,000円(3,300,000円) | 2,640,000円(2,904,000円) |
| 鼻下 14本 | 3,500,000円(3,850,000円) | 3,080,000円(3,388,000円) |
| 鼻下 16本 | 4,000,000円(4,400,000円) | 3,200,000円(3,520,000円) |
| 鼻下 18本 | 4,500,000円(4,950,000円) | 3,600,000円(3,960,000円) |
| 鼻下 20本 | 5,000,000円(5,500,000円) | 4,000,000円(4,400,000円) |
※表示金額は全て税込みです
| 通常価格 | セット 割引価格 | |
|---|---|---|
| 2本 | 500,000円(550,000円) | 500,000円(550,000円) |
| 4本 | 1,000,000円(1,100,000円) | 960,000円(1,056,000円) |
| 6本 | 1,500,000円(1,650,000円) | 1,440,000円(1,584,000円) |
| 8本 | 2,000,000円(2,200,000円) | 1,920,000円(2,112,000円) |
| 10本 | 2,500,000円(2,750,000円) | 2,300,000円(2,530,000円) |
| 12本 | 3,000,000円(3,300,000円) | 2,760,000円(3,036,000円) |
| 14本 | 3,500,000円(3,850,000円) | 3,220,000円(3,542,000円) |
| 16本 | 4,000,000円(4,400,000円) | 3,520,000円(3,872,000円) |
| 18本 | 4,500,000円(4,950,000円) | 3,960,000円(4,356,000円) |
| 20本 | 5,000,000円(5,500,000円) | 4,400,000円(4,840,000円) |
※表示金額は全て税込みです
お支払方法
当院では、下記のお支払方法が可能です。
- 現金
- 現金でのお支払い
- 銀行振込
- 振込でのお支払い
- クレジットカード
- ※自由診療のみ
VISA/JCB/
Mastercard/など
- デンタルローン
- 低金利分割払いでの
お支払い
デンタルローンについて
当院では、治療費の負担を軽減したいかたに向けて、デンタルローンのご利用が可能です。月々の支払回数や金額は、ご希望に応じて柔軟に設定できますので、大きな治療費でも無理なくご検討いただけます。審査やお手続きについてもスタッフが丁寧にご案内いたしますので、費用面でお悩みのかたはお気軽にご相談ください。
医療費控除について
1年間(1月1日~12月31日)に10万円以上の医療費を支払った場合は、医療費控除によって一定の金額の所得控除を受けることができます。ご自身の支払いに限らず、生計を共にするご家族が支払った医療費も対象となります。詳しくは国税庁のホームページをご覧ください。
注意点・リスク・副作用
・補綴材料によってはアレルギーが出ることがあります。
・強い衝撃がかかると割れる可能性があります。
