ブラックフィルムの症例 No.1 歯を一切削る事なく装着が可能|BF銀座歯科・矯正歯科|銀座の歯医者・矯正歯科

ブログ BLOG

ブラックフィルムの症例 No.1 歯を一切削る事なく装着が可能

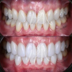
ブラックフィルムの症例 ビフォーアフター


ブラックフィルム施術後の声&症例紹介

【症例 1】

 

患者様の主訴  韓国アイドルのような歯になりたい


歯にセラミックの被せ物がある患者様の場合

このブラックフィルムの症例では前歯の片方に被せ物(クラウン)がありました

1回目にブラックフィルムとクラウンを装着したのですが、ラミネートベニア(ブラックフィルム)とクラウンは色を合わせることが難しいです。

なぜかというとラミネートベニアは透度(透け感)があるため装着した後に、若干色が変わってしまうからです。

色が歯と馴染んできて試適(試しにつけた)時と実際のブラックフィルムの装着後は光の入り方で色味が変わってくるので、予測して制作していくことが非常に難しい治療です。

1回目の治療では真ん中の歯の色味が合わないという現象が起きてしまいました。


そのために合わなかったブラックフィルムは、レーザーでブラックフィルムを剥がしてつけ直しの作業をして2回目で色を合わせることができました。

従来のラミネートベニアや被せ物は歯を削ってそこに貼り付け、被せ物を行い外したい時には歯をさらに削る必要がありましたが、この最新のラミネートベニア治療 ブラックフィルムでは歯を一切削る事なく装着、着脱が可能なので歯を無駄に傷つける心配や、歯に負担をかける事なく無痛で 歯をキレイ にする治療を受けることができるのです( ◠‿◠ )

 

技工士さんも非常に腕の良い職人さんが手作業で作成しており調整(装着前後の微調整)はほとんどなく装着できました。

今回の患者様は「韓国のアイドルのような歯になりたい!」とおっしゃっていたので自然な歯というよりは韓国のアイドルのような白くて煌びやかな歯を表現した結果、患者様も大満足の結果になりました。


ブラックフィルムの感想

まずブラックフィルムを施術した患者様、試しにつけている時からもですが、「綺麗になった!」と喜ばれました。

透明感であったり、真っ白な被せ物ではなくより歯に近い自然な仕上がりになるので非常に喜ばれる方が多いです。

あとは、ホワイトニングが不用になるので(自分の歯で行うホワイトニングの場合歯の色は永久に持続するわけでは無いため、ホワイトニングで白くした歯の白さを継続する為には定期的なホワイトニングが必要になる為)その辺りも楽になります。

装着した後の違和感に関してはブラックフィルムの形状によりますが例えば歯がないところにブラックフィルムを装着した場合には、今まで無かったものになりますので見た目として変わった印象はありますがとても薄いため違和感自体はそんなにありません。

どの歯もそうですがブラックフィルムも必ずフロスと通さないといけないです。

そして定期的なメンテナンスで虫歯や歯周病のケアをしていく事でブラックフィルムが長持ちします。




2026年2月 中央区銀座NEW OPEN
BF銀座歯科・矯正歯科

 

韓国の本物の”歯を削らないラミネートべニア”が日本上陸!

 

●来院2回・最短3週間

 

●0.1mmの革新

 

●歯を傷つけない

 

ワンランク上の笑顔へあなたも一歩踏み出しませんか。

ブラックフィルムの詳細情報はこちら




名古屋駅周辺グループ院のホームページは下記

 

医療法人清翔会 エスカ歯科・矯正歯科

 

医療法人清翔会 名駅アール歯科・矯正歯科

医療法人清翔会 名古屋ウィズ歯科・矯正歯科